Edema papil (Pembengkakan diskus optik)

Apa Itu dan Mengapa Penting untuk Diketahui?

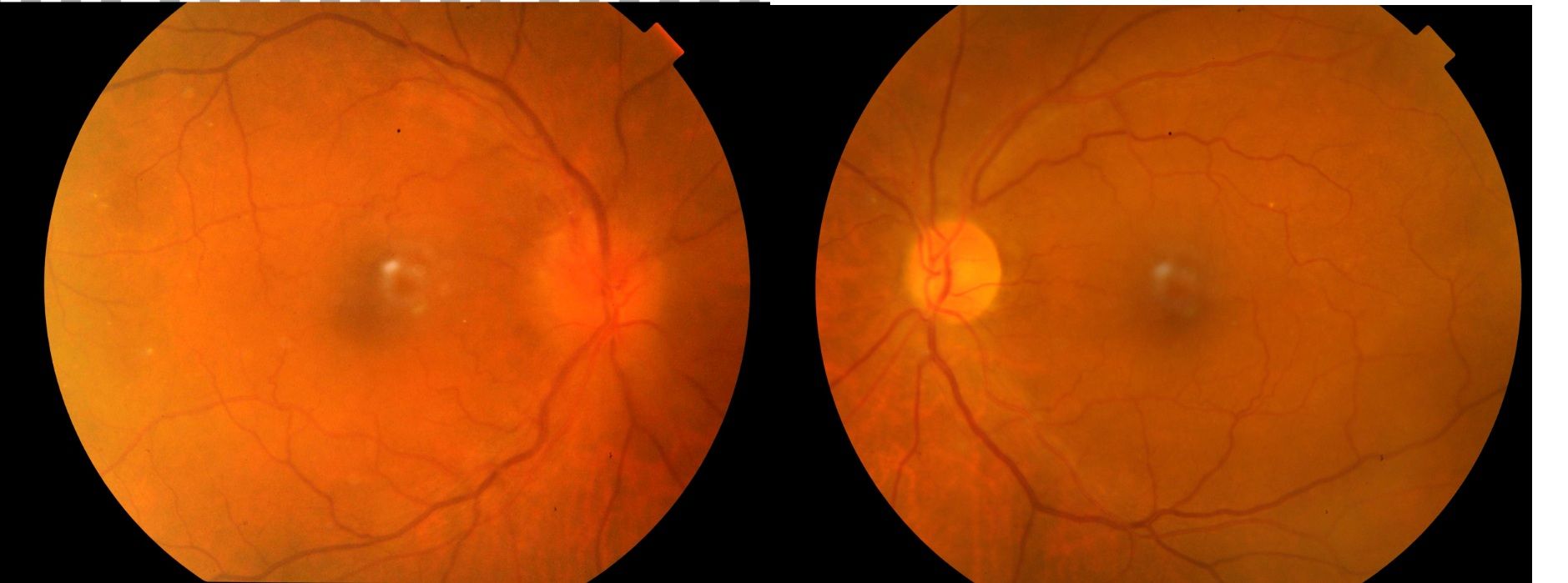
Edema papil pada gambaran sisi mata kanan di mana batas papil/diskus optik tidak jelas dan berwarna kemerahan. Bandingkan dengan gambaran sisi mata kiri yang normal.

Courtesy of dr.Valenchia, SpM, ChM

Edema diskus optik adalah kondisi di mana terjadi pembengkakan pada bagian ujung saraf optik yang terlihat sebagai “diskus optik” di mata. Bagian inilah yang menghubungkan mata dengan otak dan bertanggung jawab untuk mengirimkan sinyal visual. Edema papil optik menandakan adanya pembengkakan saraf optik karena pengumpulan cairan di sekitar akson yang disebabkan obstruksi transpor aksoplasmik sehingga terjadi aliran balik ke  saraf optik. Kondisi ini menyebabkan pembengkakan dan terangkatnya saraf optik. Pembengkakan pada diskus optik dapat mengindikasikan adanya masalah serius pada mata atau sistem saraf.

Apa Saja Penyebab Edema Diskus Optik?

Edema diskus optik dapat disebabkan oleh berbagai kondisi, di antaranya:

  • Peningkatan tekanan intrakranial: Meskipun ini dikenal sebagai papiledema, peningkatan tekanan otak merupakan salah satu penyebab edema diskus optik. Namun, tidak semua edema diskus optik disebabkan oleh peningkatan tekanan.
  • Peradangan: Infeksi atau peradangan pada saraf optik (seperti pada optic neuritis) dapat memicu pembengkakan.
  • Gangguan sirkulasi darah: Masalah seperti neuropati optik iskemik, di mana aliran darah ke saraf optik terganggu, juga dapat menyebabkan edema.
  • Cedera atau trauma: Benturan atau cedera pada kepala dapat memicu peradangan dan pembengkakan pada saraf optik.
  • Penyakit autoimun: Kondisi di mana sistem kekebalan tubuh menyerang jaringan sendiri, termasuk saraf optik.

Penyebab edema saraf optik bervariasi dari proses demielinisasi, infeksi, inflamasi, proses toksik, iskemia, kompresi, infiltrasi, maupun kelainan herediter. Menentukan penyebab edema papil optik sangat penting untuk langkah tatalaksana yang optimal.

Gejala Umum yang Mungkin Dialami

Gejala edema diskus optik dapat bervariasi tergantung pada penyebabnya, namun beberapa gejala umum yang perlu diwaspadai meliputi:

  • Penglihatan kabur atau berkurang: Perubahan dalam ketajaman penglihatan atau kesulitan melihat detail.
  • Perubahan lapang pandang: Terkadang terdapat pembesaran bintik/ area buta atau penurunan penglihatan perifer.
  • Nyeri pada mata atau sekitar mata: Terutama jika peradangan turut memengaruhi jaringan di sekitarnya.
  • Sensitivitas terhadap cahaya: Rasa tidak nyaman atau sakit saat terpapar cahaya terang.
  • Gejala sistemik: Seperti sakit kepala atau mual, terutama jika penyebabnya berkaitan dengan masalah pada otak.

Pentingnya Pemeriksaan dan Diagnosis

Gambaran OCT papil-ganglion pada pasien dengan edema papil mata kanan.

Courtesy of dr Valenchia, SpM, ChM

Karena edema diskus optik bisa menjadi tanda adanya kondisi medis yang mendasar, penting untuk segera melakukan pemeriksaan medis jika Anda mengalami gejala di atas. Dokter spesialis mata (oftalmolog) biasanya akan melakukan:

  • Pemeriksaan mata lengkap: Mengamati kondisi diskus optik dengan oftalmoskop, pemeriksaan tambahan seperti lapang pandang, OCT papil-ganglion.
  • Pemeriksaan pencitraan: Seperti CT scan atau MRI, untuk mencari penyebab peradangan, gangguan sirkulasi, atau peningkatan tekanan di dalam tengkorak.
  • Tes laboratorium: Untuk mengevaluasi kemungkinan adanya infeksi atau penyakit autoimun.

Penanganan dan Perawatan

Penanganan edema diskus optik ditentukan berdasarkan penyebab yang mendasarinya:

  • Pengobatan medis: Obat antiinflamasi, antibiotik, atau terapi lain yang sesuai jika penyebabnya adalah infeksi atau peradangan.
  • Penanganan kondisi sistemik: Jika edema disebabkan oleh peningkatan tekanan intrakranial, gangguan sirkulasi, atau penyakit autoimun, perawatan akan difokuskan pada kondisi tersebut.
  • Pemantauan rutin: Untuk mencegah kerusakan lebih lanjut pada saraf optik, pemeriksaan dan pemantauan secara berkala sangat dianjurkan
  • Neuroproteksi dan neuregeneratif: Penelitian yang ada saat ini sedang fokus pada efek terapi neuroproteksi dan neuroregenerasi saraf optik.

Kesimpulan

Edema diskus optik adalah kondisi pembengkakan pada ujung saraf optik yang dapat disebabkan oleh berbagai faktor, mulai dari peradangan, gangguan sirkulasi, hingga peningkatan tekanan dalam tengkorak. Karena kondisi ini bisa mengancam penglihatan, sangat penting untuk segera melakukan evaluasi medis jika terdapat gejala yang mencurigakan. Dengan diagnosis yang tepat dan penanganan yang cepat, risiko kerusakan permanen pada penglihatan dapat diminimalkan.

Referensi

  • American Academy of Ophthalmology. Informasi mengenai berbagai kondisi mata, termasuk edema diskus optik. https://www.aao.org
  • Mayo Clinic. Penjelasan tentang berbagai kondisi mata dan saraf optik. https://www.mayoclinic.org
  • National Eye Institute. Sumber informasi dan riset mengenai kesehatan mata. https://www.nei.nih.gov
  • World Health Organization (WHO). Publikasi terkait masalah neurologis dan kesehatan mata. https://www.who.int

Tag: edema papil edema diskus optik pembengkakan diskus optik