Neuritis Optik

Apa Itu Neuritis Optik?

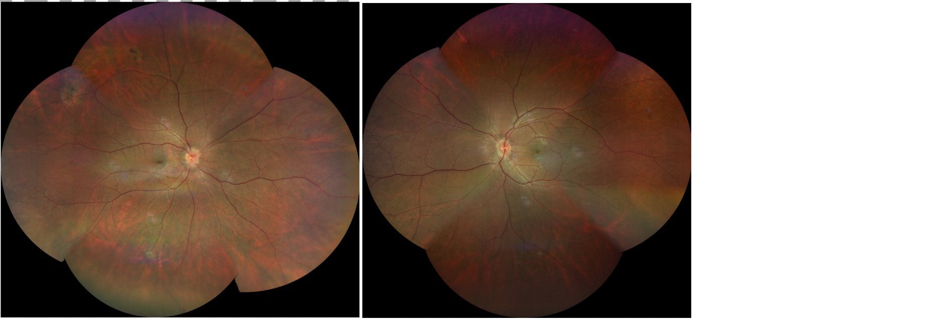
Bilateral neuritis optik yang disebabkan oleh NMOSD

Neuritis optik adalah peradangan pada saraf optik, yaitu saraf yang berfungsi membawa sinyal visual dari mata ke otak. Kondisi ini menyebabkan gangguan penglihatan, nyeri pada mata, dan perubahan persepsi warna. Neuritis optik sering dikaitkan dengan penyakit autoimun seperti multiple sclerosis (MS) atau Neuromyelitis Optica (NMO) namun juga dapat disebabkan oleh infeksi atau kondisi lainnya.

Pada penyakit neuritis optik, sistem imun tubuh menyerang selaput saraf optik yang dinamakan myelin. Ketika myelin mengalami kerusakan, sinyal saraf dari mata tidak dapat terkirim dengan baik ke otak. Hal ini menyebabkan penderitanya mengalami gangguan penglihatan.

Meskipun sebagian besar kasus bersifat sementara dan sembuh sendiri, neuritis optik bisa menjadi tanda awal dari gangguan neurologis yang lebih serius, sehingga memerlukan diagnosis dan penanganan yang cepat.

Penyebab Neuritis Optik

Penyebab pasti neuritis optik belum diketahui secara pasti. Namun, terdapat dugaan peradangan dan kerusakan saraf optik disebabkan oleh kelainan autoimun, yaitu suatu kondisi ketika sistem imun atau sistem kekebalan tubuh menyerang sel tubuh sendiri. Pada penyakit neuritis optik, sistem imun tubuh menyerang selaput saraf optik yang dinamakan myelin. Ketika myelin mengalami kerusakan, sinyal saraf dari mata tidak dapat terkirim dengan baik ke otak. Hal ini menyebabkan penderitanya mengalami gangguan penglihatan.

Penyebab neuritis optik bisa bervariasi, mulai dari penyakit autoimun hingga infeksi. Berikut beberapa penyebab utama:

1. Penyakit Autoimun (Paling Sering)

Multiple Sclerosis (MS): Penyebab paling umum di negara-negara barat. Sekitar 50% penderita neuritis optik akan mengembangkan MS dalam waktu 15 tahun. (Mayo Clinic, 2023)

Neuromyelitis Optica Spectrum Disorder (NMOSD): Penyakit autoimun yang lebih jarang tetapi lebih berat dibandingkan MS, sering menyebabkan neuritis optik berulang. (American Academy of Ophthalmology, 2023)

2. Infeksi

Virus: Campak, gondongan, herpes zoster, HIV.

Bakteri: Sifilis, penyakit Lyme, dan tuberkulosis.

Infeksi jamur atau parasit pada individu dengan sistem imun yang lemah.

3. Defisiensi Nutrisi dan Toksik

Kekurangan vitamin B12.

Paparan toksin seperti metanol dan etambutol (obat TBC).

4. Penyakit Sistemik

Lupus eritematosus sistemik (LES).

Sarkoidosis.

Diabetes melitus (jarang).

5. Efek Samping Obat

Beberapa obat seperti etambutol, linezolid, dan amiodaron dapat menyebabkan neuritis optik toksik.

Gejala Neuritis Optik

Gejala neuritis optik biasanya berkembang dalam beberapa jam hingga hari dan memburuk dalam waktu 1-2 minggu. Gejala yang paling umum meliputi:

 

Penurunan penglihatan secara mendadak pada salah satu mata.

Nyeri pada mata, terutama saat bola mata digerakkan.

Perubahan persepsi warna (diskromatopsia), di mana warna tampak pudar.

Melihat kilatan cahaya (fotopsia).

Gangguan lapang pandang, seperti adanya area gelap (skotoma) di tengah penglihatan.

Respons pupil yang lambat terhadap cahaya (Marcus Gunn Pupil).

 

Gejala biasanya memburuk dalam beberapa hari dan membaik dalam 4-6 minggu, meskipun beberapa pasien mungkin mengalami gangguan penglihatan jangka panjang.

Diagnosis Neuritis Optik

Gangguan lapang pandang pada pasien dengan bilateral neuritis optik

Peningkatan ketebalan saraf optik yang terdeteksi dengan pemeriksaan OCT papil, penipisan saraf ganglion retina yang terdeteksi dengan pemeriksaan OCT ganglion.

Dokter spesialis mata akan melakukan pemeriksaan menyeluruh untuk memastikan diagnosis, meliputi:

Pemeriksaan ketajaman penglihatan.

Tes persepsi warna Ishihara.

Tes pupil untuk mendeteksi Marcus Gunn Pupil.

Tes lapang pandang untuk mendeteksi gangguan lapang pandang

Funduskopi (Ophthalmoscopy): Untuk melihat pembengkakan pada saraf optik (papilitis).

Optical Coherence Tomography (OCT): Untuk menilai ketebalan serabut saraf retina.

MRI otak dan orbit: Membantu mendeteksi kondisi nervus optik yang menyangat pasca kontras dan lesi demielinasi yang berkaitan dengan MS.

Tes darah: Untuk mendeteksi NMOSD, infeksi, atau penyakit autoimun lainnya.

Pengobatan Neuritis Optik

Pengobatan neuritis optik tergantung pada penyebab yang mendasarinya:

 

Kortikosteroid Intravenous (IV):

 Dosis tinggi kortikosteroid (metilprednisolon) diberikan selama 3-5 hari untuk mempercepat pemulihan.

Kortikosteroid oral hanya digunakan jika diperlukan, karena meningkatkan risiko kekambuhan. (Optic Neuritis Treatment Trial, ONTT)

Terapi Imunomodulator:

 Diberikan pada pasien dengan MS atau NMOSD untuk mencegah kekambuhan.

Obat seperti rituximab atau eculizumab digunakan pada NMOSD.

Pengobatan Infeksi atau Defisiensi:

 Antibiotik atau antivirus untuk infeksi.

Suplementasi vitamin B12 pada kasus defisiensi.

Plasma Exchange Therapy (PLEX):

 Digunakan pada pasien dengan neuritis optik berat atau yang tidak merespons kortikosteroid.

Prognosis

Sebagian besar pasien neuritis optik akan mendapatkan kembali penglihatan dalam waktu 6 bulan, terutama jika disebabkan oleh penyakit autoimun ringan. Namun, risiko kekambuhan tetap ada, terutama pada pasien dengan MS atau NMOSD.

 

Prognosis berdasarkan penyebab:

 MS: 50% risiko kekambuhan dalam 5 tahun.

NMOSD: Risiko kekambuhan tinggi, sering menyebabkan gangguan penglihatan permanen.

 

Idiopatik (tanpa penyebab jelas): Prognosis lebih baik dengan risiko kekambuhan rendah.

Referensi

American Academy of Ophthalmology. "Optic Neuritis." 2023.

Mayo Clinic. "Optic Neuritis – Symptoms and Causes." 2023.

Optic Neuritis Treatment Trial (ONTT), New England Journal of Medicine, 1992.

Wingerchuk, D. M. et al. "Neuromyelitis Optica Spectrum Disorder." The Lancet, 2015.

National Eye Institute. "Optic Neuritis." 2023.


Tag: neuritis optik optik neuritis peradangan saraf mata autoimun saraf optik