Katarak Kongenital

Definisi

Katarak kongenital atau katarak infantil adalah katarak yang terjadi pada tahun pertama kehidupan yang ditandai dengan munculnya kekeruhan di sekitar lensa yang membuat bayi sulit melihat dengan jelas. Katarak kongenital sama halnya dengan katarak yang lain, memiliki efek penurunan ketajaman penglihatan yang berat, hingga menyebabkan ambliopia jika tidak dihilangkan selama periode kritis maturitas pada sistem penglihatan.  Secara statistik, katarak kongenital menyebabkan hampir 10 persen kebutaan yang terjadi pada anak-anak di seluruh dunia dan diperkirakan sekitar 1 dari 250 bayi baru lahir menderita katarak dengan beragam tipe.  Perkiraan rata-rata penderita katarak kongenital bervariasi antara 12 hingga 136 per 100.000 kelahiran dengan 8,3 hingga 25 persen diantaranya disebabkan oleh faktor keturunan.

Gejala

Umumnya katarak diklasifikasikan dengan melihat kondisi-kondisi pada mata yang memiliki kekeruhan di bagian tengah mata atau lensa. Kekeruhan tersebut menyebabkan mata tidak dapat melihat dengan jelas sebagaimana mestinya karena tertutup oleh bayangan putih yang menyerupai awan pada bagian lensa mata. Katarak pada anak juga dapat muncul pada kedua mata secara bersamaan yang menutupi fokus cahaya dan dapat membahayakan penglihatan anak.

Penyebab

Katarak Polar Anterior

Katarak Polar Posterior

Katarak Sutural

Katarak Coronary

Katarak Cerulean

Katarak Nuklear

Katarak Membranous

Katarak Rubella

Katarak Lamellar

Katarak Lentikonus

Persistent Fetal Vasculature

Katarak kongenital biasanya disebabkan oleh adanya peningkatan ekspresi mutase genetik atau oleh infeksi selama berada di kandungan, umumnya oleh virus Rubella. Selain dari kedua itu, katarak kongenital juga dapat ditemukan sebagai bagian gejala dari sindrom atau penyakit lain akibat mutasi yang memengaruhi organ-organ atau beberapa jaringan.

Mutasi pada gen yang mengkode crystallins—protein yang terkandung dalam lensa—adalah penyebab umum katarak kongenital. Mutasi pada gen lain yang berperan diantaranya pada gen yang membentuk protein membran lensa (MIP dan LIM2) dan connexins (GJA3 dan GJA8).  Mutasi pada protein crystallins paling sering menyebabkan peningkatan agregasi atau penggumpalan protein, sedangkan mutasi pada protein membran dapat menyebabkan disorganisasi sel serat (fiber cells) atau proteolysis (kehancuran protein) yang berlebihan. Keduanya dapat mengakibatkan kekeruhan pada lensa dan berakibat mengganggu masuknya cahaya ke dalam bola mata. Mutasi gen yang terjadi pada protein lensa yang lain, termasuk protein non crystallins, juga dapat memicu kerusakan struktur pada protein. Pada kasus yang parah, kondisi ini dapat menyebabkan kematian sel, disorganisasi sel serat, dan pembentukan katarak. Berdasarkan penelitian-penelitian satu dekade lalu, peneliti berhasil mengidentifikasikan mutasi pada gen yang mengkode protein membran yaitu EPHA2, sebagai penyebab katarak kongenital dan sebagai penyumbang sebagian kecil katarak akibat usia, walaupun mekanisme yang menyebabkan pembentukan katarak masih belum ditentukan pastinya. Selain itu, mutasi pada faktor transkripsi HSF4 juga berkaitan dengan katarak kongenital yang diperkirakan sebabnya karena menimbulkan perubahan pada ekspresi gen pada sel serat (Fiber Cells). 

Jika disederhanakan dengan melibatkan semua penyebab munculnya katarak kongenital; sebab-akibat mutasi-mutasi gen, dan adanya infeksi serta sindrom-sindrom dari berbagai penyakit, faktor-faktor penyebab katarak kongenital tersebut dapat dikategorikan berdasarkan manifestasi gejalanya dalam dua bagian yakni bilateral (pembentukan katarak pada kedua mata) dan unilateral (pembentukan katarak pada salah satu mata).

Bilateral:

  • Idiopatik
  • Familial (faktur keturunan)
  • Abnormalitas kromosom: Trisomy-21 (Down Syndrome), -18 (Edward Syndrome), -13 (Patau Syndrome); bentuk mutasi gen lainnya (baik translokasi, delesi, dan duplikasi)
  • Sindrom Kraniofasial: Sindrom Hallermann-Streiff, Sindrom Rubinstein-Taybi, Sindrom Smith-Lemli-Opitz
  • Gangguan Muskuloskeletal: Sindrom Conradi-Hünermann, Sindrom Albright, distrofi myotonik
  • Sindrom Renal: Sindrom Lowe, Sindrom Alport
  • Gangguan Metabolik: Galactosemia, Fabry disease, Wilson disease, mannosidosis, diabetes, cerebrotendinous xanthomatosis
  • Infeksi Maternal (infeksi pada kehamilan—penyakit TORCH): Rubella, Cytomegalovirus, Varicella, Syphilis, Toxoplasmosis, Herpes simplex
  • Anomali Okuler: Aniridia, kegagalan pembentukan segmen anterior (anterior segment dysgenesis)
  • Iatrogenik: penggunaan kortikosteroid, radiasi 

Unilateral:

  • Idiopatik
  • Anomali okuler: Persistent fetal vasculature (PFV), posterior lenticonus atau lentiglobus, tumor segmen posterior, retinal detachment (terlepasnya retina), coloboma, uveitis
  • Trauma (termasuk kekerasan pada anak)
  • Paparan radiasi 

Terkait faktor genetik, katarak kongenital, baik yang terisolasi (tidak berkaitan dengan sindrom atau penyakit lain) maupun yang berkaitan dengan kelainan okuler dan penyakit lain, umumnya lebih sering mengikuti pola pewarisan sifat yang diturunkan dari salah satu orang tua (autosomal dominant terkait kromosom X) dibandingkan pewarisan dari kedua orang tua (autosomal recessive)

Morfologi Klinis

Bila dilihat secara klinis, bentuk kenampakan atau morfologi katarak memiliki banyak keberagaman, baik dalam hal lokasi, ukuran, bentuk, kepadatan, bahkan warna kekeruhan lensa . Berikut adalah klasifikasi tipe morfologi dan lokasi katarak pada katarak kongenital

Polar

Katarak kongenital dengan tipe polar merupakan kekeruhan lensa pada korteks subkapsular dan kapsul kutub anterior atau posterior lensa. Terdapat dua jenis katarak polar yang termasuk ke dalam katarak kongenital. 

Katarak Polar Anterior

Katarak polar anterior umumnya memiliki bentuk keruhan yang kecil, bilateral (terbentuk pada kedua mata), simetris, dan bersifat nonprogresif yang tidak mengganggu penglihatan. Biasanya katarak polar anterior terjadi secara sporadis, tetapi dapat juga diturunkan dari pola dominan autosomal. Katarak polar anterior terkadang juga dapat ditemukan bersama dengan kelainan mata lainnya, misalnya mikroftalmia (kondisi cacat lahir yang membuat bola mata mengecil), persistent pupillary membrane dan lenticonus anterior. 

Katarak Polar Posterior

Katarak polar posterior seringkali diikuti dengan penurunan visus yang lebih besar dibandingkan katarak polar anterior karena cenderung berukuran lebih besar dan posisinya lebih dekat ke titik nodal mata. Beberapa kasus menunjukan adanya kerapuhan kapsular (capsular fragility) pada tipe katarak ini. Katarak polar posterior dapat terjadi secara sporadis maupun diturunkan. Katarak polar posterior yang diturunkan melalui pola dominan autosomal umumnya melibatkan kedua mata (bilateral), sedangkan pada kasus sporadis umumnya hanya melibatkan salah satu mata (unilateral). Katarak polar posterior sporadis dapat memiliki hubungan dengan sisa-sisa dari tunica vasculosa lentis, atau dengan kelainan-kelainan pada permukaan lensa posterior, seperti lenticonus atau lentiglobus.

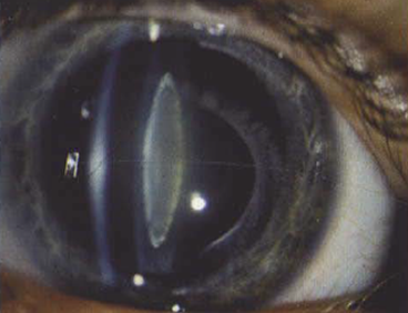
Sutural

Katarak sutural atau dikenal dengan stellate merupakan kekeruhan pada sutura-Y pada fetal nucleus. Katarak sutural umumnya tidak mengganggu penglihatan, namun kekeruhan ini sering kali membentuk cabang atau kenop. Katarak sutural bersifat bilateral, simetris, dan diturunkan melalui pola dominan autosomal.

Koroner (Coronary)

Katarak Coronary ditandai oleh sekumpulan keruhan berbentuk tongkat pada bagian tepi (kortikal) yang mengelilingi lensa, menyerupai mahkota (corona). Katarak coronary tidak dapat dilihat kecuali pada saat pupilnya melebar, dan biasanya tidak memengaruhi ketajaman penglihatan penderitanya. Katarak coronary juga seringkali diturunkan melalui pola dominan autosomal.

Cerulean

Cerulean sering dikenal sebagai katarak titik biru karena kataraknya berwarna biru langit dengan kekeruhan kecil berwarna kebiruan yang terletak di sekitar korteks lensa. Katarak cerulean bersifat non progresif, dan biasanya tidak menyebabkan gangguan penglihatan.

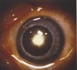
Katarak Nuklear

Katarak nuklear merupakan kekeruhan pada bagian tengah atau inti lensa. Biasanya berdiameter sekitar 3 mm, namun dapat lebih luas akibat ketidakteraturan serat lensa. Kepadatan kekeruhan lensa dapat bervariasi dan cenderung stabil, tetapi dapat pula meningkat disertai pembesaran ukuran. Katarak nuklear dapat terjadi secara bilateral maupun unilateral serta dapat bersifat diturunkan atau sporadis. Selain itu, katarak nuklear dapat disertai dengan ukuran mata yang lebih kecil dari ukuran normal dan berisiko lebih tinggi menderita glaukoma saat memasuki masa kanak-kanak.

Katarak Capsular

Katarak kapsular ditandai dengan adanya kekeruhan kecil pada epitel lensa dan kapsul lensa anterior. Katarak kapsular dibedakan dari katarak polar anterior berdasarkan penonjolannya (protrusion) ke dalam bilik mata depan. Katarak kapsular umumnya tidak berdampak buruk pada penglihatan.

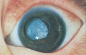
Katarak Total

Pada kasus katarak total, keseluruhan serat lensa menjadi keruh. Refleks fundus tidak terlihat dan retina tidak dapat dilihat baik dengan oftalmoskopi langsung maupun tidak langsung. Pada beberapa kasus, katarak bisa jadi diawali sebagai katarak subtotal saat lahir, kemudian berkembang dengan cepat menjadi katarak total. Katarak total dapat terjadi baik unilateral ataupun bilateral dan menyebabkan gangguan penglihatan berat.

Katarak Membranous

Katarak membranous dapat terjadi pada saat protein lensa diserap kembali baik pada lensa utuh atau lensa yang mengalami trauma, sehingga kapsul lensa anterior dan posterior menyatu membentuk membran putih yang padat. Distorsi (kelainan bentuk) lensa dan opasitas pada kondisi ini menyebabkan kecacatan penglihatan yang signifikan.

Katarak Rubella

Katarak Rubella merupakan katarak yang disebabkan oleh infeksi virus Rubella, suatu virus RNA dari genus Rubivirus, pada masa kandungan, terutama pada trimester pertama kehamilan. Katarak yang diakibatkan oleh sindrom Rubella kongenital ditandai dengan adanya keruhan inti berwarna putih serupa mutiara (pearly white). Terkadang, keruhan dapat terjadi pada seluruh lensa mata (katarak total), dan kepadatan korteks pada lensa mata menjadi cenderung cair (liquefy). Pada pemeriksaan histologis, inti serat lensa tertahan jauh dalam lens substance. Partikel virus Rubella masih dapat hidup pada hingga 3 tahun setelah kelahiran. Pengangkatan katarak Rubella menjadi rumit karena berisiko menimbulkan peradangan pascaoperasi berat akibat pelepasan partikel-partikel virus Rubella. Jaringan-jaringan mata lain yang terlibat dalam sindrom Rubella konginetal diantaranya diffuse pigmentary retinopathy, mikroftalmia, glaukoma, dan kekeruhan kornea sementara atau permanen. Walaupun sindrom Rubella kongenital dapat menyebabkan katarak atau glaukoma, kedua kondisi tersebut umumnya tidak muncul bersamaan pada mata yang sama. 

Katarak Lamellar

Katarak lamellar atau zonular merupakan tipe yang paling umum ditemukan pada katarak kongenital. Katarak lamellar memiliki kenampakan bentuk kekeruhan yang bulat pada lapisan atau zona tertentu dari lensa. Secara klinis, kekeruhan lensa terlihat dengan pola lapisan keruh—dengan lapisan korteks bening di sekelilingnya—yang mengelilingi bagian tengah yang bening. Jika dilihat dari depan, katarak lamellar terlihat seperti cakram (disc-shaped). Katarak lamellar dapat terjadi secara bilateral dan simetris maupun unilateral serta dapat terjadi akibat faktor keturunan maupun didapat (misalnya akibat infeksi). Mata pada penderita Lamellar Cataract ini memiliki ukuran dan diameter kornea yang normal. Karena timbulnya katarak lamellar biasanya terjadi setelah refleks fiksasi anak terbentuk, prognosis fungsi penglihatan setelah operasi lebih baik dibandingkan dengan katarak yang timbul lebih awal.

Katarak Posterior Lenticonus/Lentiglobus

Lenticonus/lentiglobus posterior disebabkan oleh penipisan kapsul posterior pusat. Penipisan ini awalnya menunjukkan gambaran butiran menyerupai “tetesan minyak” pada saat pemeriksaan refleks fundus. Seiring dengan berkembangnya kantung lensa, serat kortikal meregang dan secara bertahap menjadi keruh. Proses ini bisa memakan waktu bertahun-tahun. Tetapi jika kapsul ini robek, kekeruhan total lensa dapat terjadi secara cepat. Kekeruhan lentikonus posterior hampir selalu terjadi secara unilateral, dan ukuran mata yang abnormal sama dengan ukuran mata yang normal. Kekeruhan pada Lenticonus/lentiglobus posterior ini biasanya tidak diwariskan, meskipun kelemahan pada kapsul posterior bisa menjadi faktor sifat bawaan. Katarak pada Lenticonus/lentiglobus posterior biasanya tidak terbentuk di masa awal kehidupan sehingga menyerupai karakter katarak yang didapat.

Katarak Subcapsular Posterior

Posterior subcapsular cataracts (PSCs) lebih jarang terjadi pada anak-anak dibandingkan pada orang dewasa. Saat muncul pun PSCs biasanya bersifat didapat (acquired) dan termasuk dalam kategori bilateral serta cenderung progresif. Penyebab sekunder dari PSCs diantaranya akibat penggunaan steroid, uveitis, kelainan retina, dan paparan radiasi. PSCs dapat ditemukan pada kondisi neurofibromatosis tipe 2 dan dapat menjadi manifestasi gejala pertama yang dapat terlihat pada penyakit ini. 

Persistent Fetal Vasculature

Persistent fetal vasculature (PFV) terjadi akibat adanya kegagalan regresi pada kompleks vaskular hialoid janin dan merupakan penyebab umum katarak pada bayi. Menilik ke masa lalu, Persistent fetal vasculature (PFV) biasa disebut dengan istilah Persistent hyperplastic primary vitreous (PHPV), namun dalam beberapa tahun terakhir, istilah Persistent Jetal vasculature karena dianggap lebih akurat, dan secara anatomi lebih mudah dikenali. Secara klinis, terdapat membran retrolental dengan berbagai ukuran yang kepadatannya yang menempel pada permukaan lensa posterior. Membran retrolental tersebut dapat berukuran kecil dan terletak di tengah atau dapat memanjang hingga menempel pada prosesus siliaris sejauh 360 dejarat. Seperti halnya pada katarak nuclear, Persistent fetal vasculature (PFV) bersifat bawaan. Ketika diamati, mata pada penderita Persistent fetal vasculature (PFV) hampir selalu bersifat mikroftalmik (mikrokornea) sampai pada tingkat tertentu. Persistent fetal vasculature (PFV) hampir selalu unilateral. Pembuluh hialoid yang persisten dapat menghubungkan membran retrolental ke saraf optik, namun sering kali pembuluh hialoid mengalami regresi sehingga hanya menyisakan membran. Dalam kasus yang parah, lensa bisa terdorong ke depan, menekan bilik mata depan, dan menyebabkan glaukoma sekunder. Glaukoma dapat terjadi secara akut karena munculnya kekeruhan total yang masif serta pembengkakan lensa yang terjadi dalam beberapa hari, atau dapat berkembang secara bertahap selama bertahun-tahun. Persistent fetal vasculature (PFV) dapat pula  berhubungan dengan kelainan retina yang dapat berdampak buruk pada prognosis visual.

 

Tatalaksana

Bayi yang baru lahir disarankan untuk menjalani pemeriksaan mata yang dilakukan oleh dokter ahli, termasuk evaluasi refleks fundus. Pada anak yang belum dapat berbicara, dapat dilakukan dengan cara retinoskopi melalui pupil yang tidak melebar guna menilai potensi signifikansi visual dari opasitas lensa aksial . Penting juga untuk memperoleh riwayat rinci tentang pertumbuhan, perkembangan, dan kelainan sistemik pada anak, selain riwayat keluarga, karena informasi-informasi tersebut dapat menjadi panduan untuk mengevaluasi kemunculan katarak kongenital. 

Selanjutnya, pemeriksaan terkait fungsi penglihatan, diameter kornea, konfigurasi iris mata, kedalaman bilik mata depan, posisi lensa, morfologi katarak, segmen posterior, dan tekanan intraokular penting untuk mengevaluasi katarak kongenital. Pemeriksaan laboratorium untuk katarak kongenital bilateral yang belum diketahui penyebabnya juga dapat dilakukan melalui penelusuran gangguan metabolisme galaktosa, penyakit metabolik, dan pemeriksaan genetik.

Terkadang, tanda-tanda pada katarak kongenital sulit untuk dideteksi, terutama pada bayi yang baru lahir karena mata bayi masih dalam tahap perkembangan. Oleh sebab itu, munculnya kekeruhan lensa tidak berarti diperlukan pengangkatan secara bedah saat itu juga. Penentuan pengangkatan secara bedah memerlukan penilaian terhadap seberapa signifikan opasitas pada lensa secara visual. Pada bayi sehat berusia 2 bulan atau lebih muda, refleks fiksasinya bisa dikatakan belum berkembang sepenuhnya. Lalu, pada anak-anak preverbal yang berusia lebih dari 2 bulan, penilaian klinis standar terhadap perilaku fiksasi, preferensi fiksasi, dan kemungkinan oklusi memberikan bukti tambahan mengenai signifikansi visual dari katarak. 

Untuk katarak bilateral, penilaian terhadap perilaku anak dan observasi keluarga terhadap anak di rumah sangat membantu untuk menentukan tingkat ketajaman penglihatan. Pada anak-anak yang lebih besar, terutama mereka yang menderita katarak kongenital dengan tipe lamellar atau subkapsular posterior, pemeriksaan  refraksi atau tajam penglihatan  dapat dilakukan untuk menilai tingkat penurunan penglihatan. 

Tindakan pengangkatan katarak kongenital secara bedah dan pada prinsipnya lebih baik dilakukan sedini mungkin karena adanya potensi terjadinya ambliopia. Meski demikian, pemilihan waktu yang tepat untuk menjalani prosedur operasi dan penilaian risiko menjadi kunci pengambilan keputusan. Umumnya, untuk perkembangan penglihatan yang optimal, katarak unilateral yang signifikan secara visual harus diangkat antara usia 4 sampai 6 minggu. Sedangkan pada katarak bilateral yang signifikan secara visual prosedur pengangkatan dilakukan sebelum usia 10 minggu. Untuk anak-anak yang lebih tua dengan katarak bilateral, pembedahan diindikasikan apabila tingkat gangguan fungsi penglihatan mulai tidak memenuhi kebutuhan penglihatan pada anak.

Meskipun anak-anak dengan ketajaman penglihatan terbaik berada pada tingkat sekitar 20/70 bisa jadi dianggap masih berfungsi dengan relatif baik pada usia sekolah dasar, untuk menghindari risiko amblyopia, pengangkatan katarak secara bedah harus dipertimbangkan apabila ketajaman penglihatan sudah menurun pada tingkatan 20/40 atau lebih buruk . Tindakan operasi pengangkatan katarak pada anak dapat diikuti dengan pemasangan lensa intraokuler (IOL) untuk anak usia 1 tahun ke atas, sedangkan untuk kasus katarak pada anak di bawah 1 tahun, pemasangan IOL masih kontroversial. 

 


Tag: Katarak Kongenital