Atrofi Optik

Penyebab Atrofi Optik

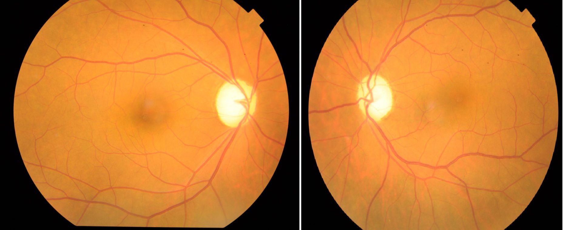
Foto fundus atrofi optik kedua mata karena kompresi tumor kiasma.

Credit: Foto Pasien dr. Valenchia, SpM, ChM

Atrofi optik adalah kondisi di mana terjadi degenerasi atau kerusakan pada saraf optik, yang mengakibatkan penurunan fungsi penglihatan. Saraf optik berperan penting dalam mengirimkan informasi visual dari retina ke otak, sehingga kerusakan pada saraf ini dapat menyebabkan gangguan penglihatan yang signifikan. Atrofi optik bukanlah penyakit tersendiri, melainkan merupakan akibat dari berbagai kondisi yang merusak saraf optik. Beberapa penyebab utama atrofi optik meliputi:

  1. Penyakit Genetik

    • Atrofi optik herediter Leber (Leber's Hereditary Optic Neuropathy, LHON): Kelainan genetik yang menyebabkan kehilangan penglihatan mendadak pada pria muda.
    • Atrofi optik dominan autosomal: Kelainan bawaan yang menyebabkan penurunan penglihatan progresif.
  2. Penyakit Mata

    • Glaukoma: Tekanan intraokular yang meningkat dapat merusak saraf optik.
    • Neuropati optik iskemik: Kekurangan aliran darah ke saraf optik dapat menyebabkan kerusakan permanen.
    • Papiledema kronis: Pembengkakan saraf optik akibat peningkatan tekanan intrakranial dapat berujung pada atrofi optik.
  3. Infeksi atau Peradangan

    • Infeksi kongenital seperti virus Zika selama kehamilan dapat menyebabkan kelainan saraf optik pada bayi baru lahir.
    • Neuritis optik: Peradangan saraf optik, yang sering dikaitkan dengan penyakit autoimun seperti multiple sclerosis.
  4. Trauma atau Cedera

    • Cedera kepala atau mata yang melukai saraf optik dapat menyebabkan atrofi optik.
  5. Kompresi : Tumor kepala dapat menyebabkan kerusakan saraf optik.

  6. Penyakit Sistemik

    • Diabetes mellitus: Kadar gula darah yang tidak terkontrol dapat menyebabkan neuropati optik diabetik.
    • Hipertensi: Tekanan darah tinggi dapat merusak pembuluh darah yang menyuplai saraf optik.

Gejala Atrofi Optik

Tingkat keparahan dan pola kehilangan penglihatan tergantung pada lokasi dan tingkat kerusakan saraf optik. Kehilangan penglihatan dapat bervariasi dari penurunan ketajaman visual hingga kebutaan total, tergantung pada seberapa parah kerusakan saraf optik. Gejala dapat terjadi pada satu atau kedua mata. Beberapa gejala utama meliputi:

  • Penurunan ketajaman penglihatan yang progresif.
  • Kehilangan sebagian atau seluruh lapang pandang.
  • Gangguan persepsi warna (warna terlihat lebih pudar atau kurang jelas).
  • Kesulitan dalam menyesuaikan diri dengan perubahan pencahayaan.

Diagnosis Atrofi Optik

OCT papil ganglion atrofi optik kedua mata karena kompresi tumor kiasma.

Credit: Foto Pasien dr. Valenchia, SpM, ChM

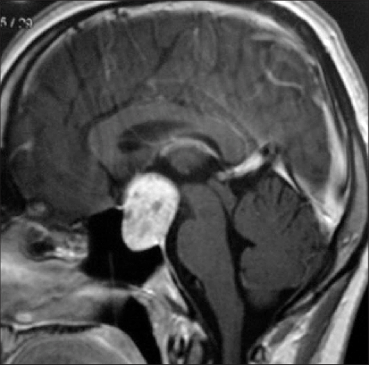
Contoh Tumor kiasma yang menyebabkan atrofi optik kedua mata.

Abraham, Mary. (2016). Perioperative management of patients with pituitary tumours. Journal of Neuroanaesthesiology and Critical Care. 3. 211. 10.4103/2348-0548.190066. 

Untuk menegakkan diagnosis atrofi optik, dokter mata akan melakukan beberapa pemeriksaan, seperti:

  • Riwayat medis: Penting untuk mengetahui riwayat kesehatan pasien, termasuk gejala yang dialami dan faktor risiko yang mungkin ada.
  • Pemeriksaan oftalmologis: Pemeriksaan ketajaman visual, lapang pandang, dan evaluasi diskus optik melalui oftalmoskopi.
  • Optical Coherence Tomography (OCT): Menilai ketebalan lapisan serat saraf retina untuk mendeteksi atrofi optik secara lebih akurat.
  • Tes elektrofisiologi: Seperti Visual Evoked Potential (VEP) untuk menilai fungsi saraf optik.
  • Pencitraan otak (MRI/CT scan): Jika dicurigai adanya kompresi saraf optik akibat tumor atau kelainan struktural lainnya.

Pengobatan dan Manajemen

Karena atrofi optik merupakan tahap akhir dari kerusakan saraf optik, pengobatan terutama difokuskan pada pencegahan progresi kerusakan lebih lanjut. Beberapa pendekatan yang dapat dilakukan meliputi:

  • Mengatasi penyebab yang mendasari: Misalnya, kontrol tekanan intraokular pada glaukoma atau pemberian terapi imunomodulator untuk neuritis optik.
  • Suplemen nutrisi: Pada kasus LHON, beberapa studi menunjukkan bahwa koenzim Q10 dan vitamin B12 dapat membantu memperlambat progresi penyakit.
  • Rehabilitasi visual: Untuk membantu pasien beradaptasi dengan kehilangan penglihatan melalui terapi dan alat bantu optik.

Kesimpulan

Atrofi optik merupakan kondisi serius yang dapat menyebabkan kehilangan penglihatan permanen. Meskipun tidak selalu dapat disembuhkan, deteksi dini dan manajemen yang tepat dapat membantu memperlambat progresi penyakit dan meningkatkan kualitas hidup pasien. Jika Anda mengalami gejala yang mengarah pada atrofi optik, segera konsultasikan dengan dokter spesialis mata untuk evaluasi lebih lanjut.

Referensi


Tag: Atrofi optik Optik Atrofi Kerusakan saraf optik Saraf optik pucat